Sunday, April 27, 2008
went to catch "superhero' movie with my boy on thursday
its lame and yes its kind of funny
they got alot of stupid effects and dirty joke
so if you go with a group of friends who is always cracking those dirty jokes
you'll laugh your ass off with your friends.
my hands were very busy ever since yesterday
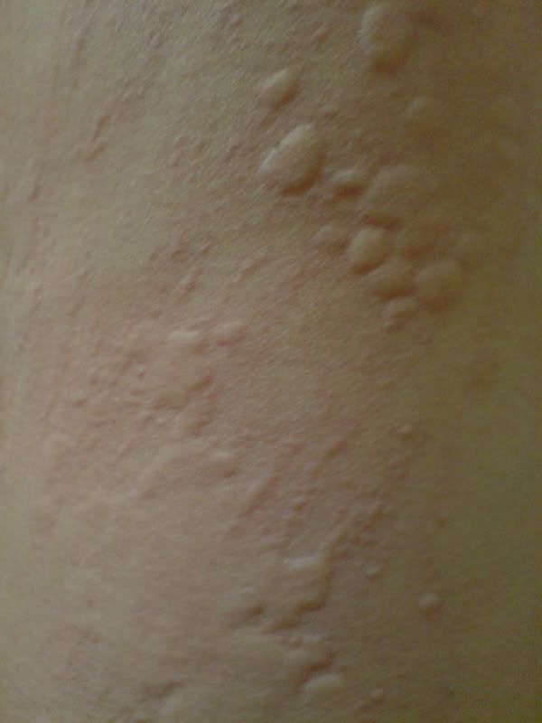
cause out of sudden, i started to itch everywhere
roar ! i got that 'fong mo' again
i dont know what you call it in english but its one kind of skin irritation
it look like you got multiple of big mosquito bites everywhere
lucky it doesnt go all the way to my face
will show you how disgusting it is later so if you are eating, STOP EATING NOW! :P
ive got school today even though its a saturday
but no choice my school love to give weird time table
two lesson today mean full day but didnt manage to go
cause i cant wake up !
not because i too pig dont wan wake up okay
its because i spend almost the whole night scratching
maybe i will go for the afternoon lesson later?
i dont know. see how my skin goes
ahhh~ maybe i cant meet my boy too :(
its kind of obscene to scratch everywhere when you are outside though
ready for the disgusting picture?
here we go
.
.
.
.
.
.
.
.
.
HAHAHAHAHA
.
.
.
.
.
.
i suddenly realised i like to share disgusting photos =x
.
.
.
.
.
.
.
.
.
.
.
.
.
.
.

Jarelyn wrote; it's complicating.
2:19 AM